Здоровье

Гиперсаливация - это... Причины возникновения, признаки и лечение повышенного слюноотделения

Гиперсаливация - это... Причины возникновения, признаки и лечение повышенного слюноотделения

Тем, насколько правильно функционируют слюнные железы, обусловлено состояние ротовой полости. Чрезмерное количество слюны приносит не меньше неудобств, чем слишком сильное пересыхание слизистых. Заключается это как в дискомфорте и сниженной эстетике, так и в факторах, которые провоцируют повышенное слюноотделение.

ГСГ маточных труб: подготовка, описание процедуры, показания и противопоказания, последствия, отзывы

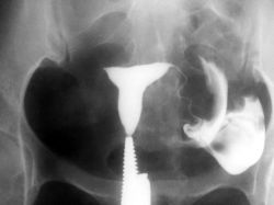
ГСГ маточных труб: подготовка, описание процедуры, показания и противопоказания, последствия, отзывы

Есть масса причин, по которым женщины детородного возраста не беременеют. Одна из таких – непроходимость яйцеводов. Чтобы выявить либо исключить данную патологию, врачи назначают ГСГ маточных труб (гистеросальпингографию). Это сложный метод диагностики, поэтому нужно заранее изучить его характеристики и правильно подготовиться к исследованию.

Лучшие желчегонные травы при застое желчи

Лучшие желчегонные травы при застое желчи

Когда наша желчь исправно вырабатывается, мы не обращаем внимания на это. Потому что здоровье часто восприниматься как обычное состояние (пока оно имеется). Когда организм начинает испытывать проблемы и некоторые трудности с образованием этого полезного вещества, с его нормальным оттоком по желчевыводящим путям в печени - вот здесь человек начинает испытывать очень неприятные ощущения.

Диета

Диета "Офигенная" на 14 дней: правила, меню, особенности, отзывы и результаты

Методов борьбы с лишним весом сегодня очень много. В аптеках вам рады предложить огромный выбор таблеток, гелей, сиропов и коктейлей. Эти средства могут быть безвредными, безопасными, эффективными и не очень. Но чаще всего желаемого результата люди не достигают и в очередной раз убеждаются, что единственный способ похудеть – это сесть на диету. Все, что вам нужно, это выбрать эффективную систему. Сегодня мы поговорим про одну из них – диету «Офигенная».

Диоксид циркония в стоматологии: коронки, зубы, отзывы, фото до и после

Диоксид циркония в стоматологии: коронки, зубы, отзывы, фото до и после

Цирконий в стоматологической сфере называется белым золотом. По прочности он ничуть не хуже драгоценных металлов, а коронки из него отличаются великолепными эстетическими свойствами. По отзывам стоматологов, диоксид циркония станет лучшим вариантом при установке протезов. Об их особенностях рассказано в статье.

Жирные кислоты: виды, свойства, значение для организма человека, в каких продуктах содержатся

Жирные кислоты: виды, свойства, значение для организма человека, в каких продуктах содержатся

Современная жизнь стремительно изменяет привычный ранее уклад человеческой жизни: возрастает ритм, уменьшается рекомендуемое количество сна, изменяется питание. Не всегда данные изменения происходят в лучшую сторону. Гонясь за баснословной прибылью, человек на бегу запихивает в рот продукцию фастфуда, заливает все едва пережеванное горячим кофе и, не выждав, пока пищевой ком хоть как-то уляжется, снова куда-то уносится. Переговоры, встречи… стрессы, болезни!

Застойный простатит у мужчин: причины, симптомы и лечение

Застойный простатит у мужчин: причины, симптомы и лечение

Застойный простатит возникает у мужчин, в основном, вследствие малоподвижного образа жизни, половой невоздержанности и незавершения полового акта. Также причинами могут выступать и другие основания. При этом у мужчин снижается либидо, могут появляться проблемы с мочеиспусканием, потенцией, присутствуют болевые синдромы. Лечение может быть консервативным, оперативным или с использованием народных средств.

«Диклофенак», глазные капли: инструкция по применению, показания, отзывы

«Диклофенак», глазные капли: инструкция по применению, показания, отзывы

«Диклофенак» производится в форме растворов для закапывания в глаза, в специальных флаконах из полимерных материалов, оснащенных капельницами на конце. Объем такого флакона составляет 5 мл, содержимое в нем - стерильно. Медицинское средство упаковано в картонные пачки с прилагающимся описанием в виде инструкции.

Витамины для похудения: название, отзывы

Витамины для похудения: название, отзывы

Во время диеты важно соблюдать внутренний баланс витаминов и минералов для исключения дефицита необходимых организму веществ. В целях похудения витамины пьют не только для защиты здоровья, но и для ускорения метаболических процессов, позволяющих быстрее скинуть вес.

Закодироваться от алкоголя в Москве: возможные способы, особенности и рекомендации

Закодироваться от алкоголя в Москве: возможные способы, особенности и рекомендации

Хронический алкоголизм — это бич нашей современности. Пропаганда алкоголя привела к тому, что сейчас считается совершенно нормальным пить всем слоям населения. Финансово обеспеченные люди выбирают дорогие и качественные напитки, небогатые слои населения пьют дешевое вино и пиво. Путь у любящих алкогольное расслабление один — это хронический алкоголизм. Смертельное и неизлечимое заболевание.