Здоровье

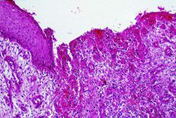
Сифилитический шанкр: особенности заболевания

Сифилитический шанкр: особенности заболевания

В данной статье будет подробно разбираться вопрос, как выгладит сифилитический шанкр и каковы его особенности. Также можно будет узнать, как лечить данную инфекцию. И, конечно же, будут приведены фото сифилитического шанкра и его проявлений

Чем отличается тонзиллит от ангины: какая разница между ними?

Чем отличается тонзиллит от ангины: какая разница между ними?

Какова разница между ангиной и тонзиллитом? В чем особенности этих патологий, и как нужно их лечить? Есть ли вообще между ними принципиальное отличие?

Как пить желчегонный чай: инструкция, отзывы

Как пить желчегонный чай: инструкция, отзывы

Необязательно покупать готовые желчегонные чаи в аптечных пунктах – их можно готовить и самому, нужно только знать, какие растения обладают в этом случае лечебным действием, какие – пролонгированным, а от каких следует отказаться по индивидуальным показаниям.

"Корилип-Нео" – инструкция по применению, состав и отзывы

Истощение организма, снижение иммунитета, нарушения метаболизма — это проблемы, с которыми сталкиваются многие люди. Особенно часто от подобных патологий страдают детишки. Именно в таких случаях врачи и рекомендует применение препарата «Корилип-Нео».

Околопупочная, или параумбиликальная грыжа: причины, симптомы и лечение

Околопупочная, или параумбиликальная грыжа: причины, симптомы и лечение

Параумбиликальная грыжа – это одна из разновидностей грыжевых образований в зоне белой линии живота. Заболевание весьма распространенное. Из-за особенностей локализации выпячивание фрагментов органов брюшной полости часто принимают за пупочную грыжу. Однако, в отличие от нее, околопупочная патология развивается над рубцом. Поставить точный диагноз «параумбиликальная грыжа» может только специалист после проведения ряда диагностических процедур.

Препарат

Препарат "Эреспал" антибиотик или нет?

Многих пациентов интересует: «Эреспал» - антибиотик или нет, можно ли его применять при проведении антибактериальной терапии. Этот препарат обладает противовоспалительным эффектом, помогает разжижить и вывести мокроту из бронхов. Однако, чтобы получить максимальный эффект, его рекомендуют принимать при проведении комплексной терапии.

Какой врач лечит подагру: название, особенности и отзывы

Какой врач лечит подагру: название, особенности и отзывы

Какой врач лечит подагру? Разберемся в этом вопросе более подробно. Для того чтобы ответить на вопрос о том, какой именно врач занимается лечением подагры, сначала необходимо определить, что представляет собой данная болезнь и как она воздействует на человека, а также в чем заключается опасность данной патологии. Подагрой принято называть заболевание двигательной системы, в особенности речь идет об изменении суставов.

Чем отличается фарингит от ларингита: разница, фото

Чем отличается фарингит от ларингита: разница, фото

Чем отличается фарингит от ларингита? Это частый вопрос. Разберемся в данной статье. На первый взгляд эти два заболевания - ларингит и фарингит - очень похожи. Но методы их лечения весьма различны, поэтому их не стоит путать. К примеру, при фарингите назначают ментол, который обезболивает и облегчает кашель. Но при ларингите он совершенно противопоказан.

Чай с малиной: польза и вред, рецепт

Чай с малиной: польза и вред, рецепт

Каждый человек не понаслышке знаком с известным народным средством, которое очень сильно помогает при повышенной температуре и простуде. Еще в детстве множество людей на себе испытали чудодейственный эффект от употребления чая с вкусной и очень полезной малиной. В чем же заключается секрет плодов полукустарника, растущего в основном в садах, дачах и лесах? О полезных свойствах чая с малиной читайте далее.

Таволга: полезные свойства и противопоказания. Применение таволги в народной медицине

Таволга: полезные свойства и противопоказания. Применение таволги в народной медицине

Лечебные свойства таволги, причем абсолютно всех частей, известны уже длительное время, и травники обязательно выделяют ей почетное место среди других трав.