Гнилые зубы: причины и лечение
Ассоциация стоматологов провела исследование, в ходе которого было выяснено, что наши соотечественники чаще всего страдают от желтого налета, вызванного употреблением табака, кариеса и отсутствия нескольких зубов в задней части. Гнилые зубы также присутствуют в списке распространенных заболеваний. Из всего перечисленного сложнее всего справиться именно с проблемой разрушения зубов. Дырки и кариес можно запломбировать, налет отбелить или удалить механической чисткой. Современное протезирование поможет восстановить зубной ряд таким образом, что никто и не заметит искусственных элементов. Но узнать, от чего появляются гнилые зубы и как от этого избавиться, - это действительно сложно. Люди, страдающие от этого явления, не могут нормально общаться, превращаясь в изгоев, лишенных возможности добиваться высот жизни с помощью белоснежной улыбки.

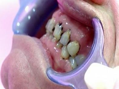
Первая стадия гниения сопровождается появлением резкого неприятного запаха из полости рта. Далее гнилые зубы начинают темнеть, постепенно чернеют, начинают разрушаться. Возле них возникает боль.

На последней стадии гнилые зубы лишаются нервов, боль перестает чувствоваться. Затем коронка разрушается окончательно, до самого основания. При этом корень, который остается в десне, не может послужить основанием для имплантанта, так как он уже недостаточно крепкий и здоровый.
Почему появляются гнилые зубы

Гнилые зубы – это симптом какого-либо другого недуга. Они могут быть подтверждением того, что десны или внутренние органы страдают от какого-то заболевания. Зубы могут начать гнить из-за курения, употребления спиртного или наркотиков. Еще одна возможная причина - наследственность. То есть организм унаследовал некие склонности, служащие факторами риска. На их фоне и развивается чернота на зубах. Не менее важный фактор – отсутствие удовлетворительной гигиены рта. Гниение может быть спровоцировано даже банальным кусочком пищи, застрявшим между зубов, особенно у лиц с ослабленным иммунитетом. Поэтому осуществлять процедуры, знакомые всем с детства, крайне важно.
Лечение гнилых зубов
Если вы обнаружили, что у вас гниет зуб, то необходимо незамедлительно обратиться к стоматологу. Он сможет определить истинную причину этого явления и назначить адекватное лечение. Это может быть прием антибиотиков, уколы, укрепляющие организм в целом и зубы в частности, отказ от курения и приема спиртного. Затем гнилые зубы надо тщательно очистить. Всю гниль спиливают бормашиной, иногда приходится полностью удалять коронку. Затем удаляются нервы, и зуб пломбируется. То, что было спилено, можно восстановить с помощью современных методик наращивания. Даже если все гнилые зубы удалось отремонтировать, то причину гниения установить все-таки необходимо. Иначе все процедуры, связанные с восстановлением зубов, придется проходить снова и снова.
Похожие статьи
- Сонник: крошащиеся зубы во сне. Сонник: зубы крошатся и выпадают
- Последствия удаления зуба мудрости: осложнения, фото, отзывы
- К чему снится груша на дереве?
- Приснились выпавшие зубы? Сонник растолкует, что к чему.
- Как убить нерв в зубе? Средства, убивающие зубной нерв. Удаление пульпы
- Зуб крошится - что делать? Крошащиеся зубы: причины и лечение
- Во сне зубы лечить - что значит?