Здоровье

Эритематозная гастропатия: симптомы и лечение

Эритематозная гастропатия: симптомы и лечение

Любые заболевания, связанные с дискомфортом в желудке и кишечнике, доставляют немало хлопот, особенно если речь идет о таком недуге, как эритематозная гастропатия. Но не стоит при этом пугаться слишком трудного медицинского названия этого заболевания, считая его неизлечимым.

Полипы в матке: симптоматика, причины возникновения и способы лечения

Полипы в матке: симптоматика, причины возникновения и способы лечения

Раньше полипы в матке и на ее шейке рассматривались в качестве проблемы взрослых женщин. Их появление обуславливалось перенесенными родами. Но последнее время их также находят и у девушек в подростковом возрасте, и у женщин в постменопаузальном периоде. Возникают полипы из-за наличия воспалительных процессов, которым предшествуют механические травмы и гормональные изменения.

Как избавиться от вшей в домашних условиях: полезная информация

Как избавиться от вшей в домашних условиях: полезная информация

Считается, что вши появляются у людей, которые не соблюдают правила личной гигиены. Однако даже самый чистоплотный человек не застрахован от этого. Заразиться можно в любом общественном месте: магазине, транспорте или ночном клубе. Заболевание это крайне неприятное. У «жертвы» возникает резонный вопрос о том, как избавиться от вшей в домашних условиях.

Как поправиться за неделю: советы и рекомендации

Как поправиться за неделю: советы и рекомендации

Разнообразные диеты, методики, упражнения разработаны специально для тех, кто желает скинуть лишние килограммы. Однако не все знают, что, в то время как многие сидят на диетах для похудения, некоторые мечтают о том, чтобы набрать вес. Если вы хотите поскорей поправиться, воспользуйтесь следующими рекомендациями.

Операция по смене пола. Что нужно знать будущему транссексуалу

Операция по смене пола. Что нужно знать будущему транссексуалу

В соответствии с действующими законодательными актами гражданский пол меняется еще до операции. Кстати, уже одно это может оказать сильный психологический эффект на будущего транссексуала, что зачастую сказывается на нем положительно. Рассмотрим это подробнее.

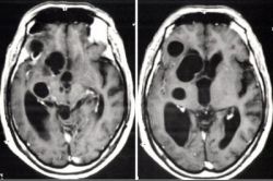
Что собой представляет ретроцеребеллярная киста головного мозга

Что собой представляет ретроцеребеллярная киста головного мозга

Киста – это образование в виде наполненного жидкостью пузыря или полости. Она может возникнуть практически на любом участке мозга. Существуют два ее вида: арахноидальная (локализующаяся в мозговых промежутках) и ретроцеребеллярная.

Таблетки «Мелоксикам»: инструкция по применению

Таблетки «Мелоксикам»: инструкция по применению

Таблетки «Мелоксикам» инструкция по применению относит к категории нестероидных противовоспалительных лекарственных средств, обладающих характерными жаропонижающими, противовоспалительными и анальгезирующими свойствами. В основе фармакологического действия данного препарата находится торможение активности ЦОГ-2, которая принимает непосредственное участие в процессе размножения простагландинов на участке воспаления.

"Ледис формула": волшебные капсулы современной женщины

Упаковки с загадочной надписью "Ледис формула" в продаже появились относительно недавно. Специалисты приписывают препарату чудодейственные свойства. Так ли это на самом деле? Какая же она - формула современной леди? Попробуем разобраться в этом вместе.

Остеофиты: лечение позвоночника

Остеофиты: лечение позвоночника

Костные наросты (остеофиты), лечение которых сопряжено с большими трудностями, является одной из причин ухудшения качества жизни человека в любом возрасте. Поэтому каждый должен знать, как их лечить и тем более предупредить развитие.

Когда придут месячные после лапароскопии

Когда придут месячные после лапароскопии

Важным этапом в диагностике последствий проведенного хирургического вмешательства является фиксирование даты, когда придут месячные после лапароскопии. Если операция была проведена высококвалифицированным врачом с соблюдением всех правил санитарии и хирургии, то в целом менструальный цикл не будет нарушен.