Здоровье

Гайморит - что это такое, причины возникновения, симптомы и лечение

Гайморит - что это такое, причины возникновения, симптомы и лечение

Гайморит – что это такое? Мы подробно рассмотрим этот вопрос в статье. Что это такое и как его избежать, вы обязательно узнаете ниже.

"Ко-Перинева": отзывы, инструкция по применению и состав препарата

При артериальной гипертензии врачи назначают препарат "Ко-Перинева". Отзывы об этом лекарстве свидетельствуют, что оно помогает быстро снять повышенное давление и нормализовать самочувствие. Благодаря двум действующим компонентам это средство одновременно расширяет сосуды и выводит жидкость из организма.

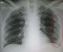
Что делать, если сломано ребро: симптомы, профилактика и особенности лечения

Что делать, если сломано ребро: симптомы, профилактика и особенности лечения

Перелом рёбер занимает первое место по распространённости среди травм. Но каковы симптомы у данного недуга, и что нужно делать в этом случае? Ответы на эти вопросы вы найдёте в данной статье. Здесь подробно описаны признаки, профилактика и диагностика перелома рёбер

E. coli – что это такое? Виды, симптомы и лечение

E. coli – что это такое? Виды, симптомы и лечение

E. coli – что это такое? Это кишечная палочка, которая была открыта в конце XIX века немецким ученым-бактериологом Теодором Эшерихом, получившая его имя Escherichia coli. У каждого человека в кишечнике находится эта бактерия, и она даже является полезной, когда ее количество не превышает положенной нормы.

Типы герпеса, симптомы и лечение

Типы герпеса, симптомы и лечение

Существует несколько различных типов герпеса, каждый из которых имеет свою определенную симптоматику, характер протекания, а также способы проведения терапии.

Что лучше,

Что лучше, "Эссенциале форте" или "Эссливер форте"? Сравнение, отзывы

Для защиты печени от вредных воздествий и при заболеваниях используются гепатопротекторы. Пациенты часто задают вопрос: что лучше - "Эссенциале форте" или "Эссливер форте"? Эти два лекарства являются аналогами по терапевтическому эффекту. Они обладают схожим воздействием на организм. Чтобы разобраться в достоинствах и недостатках каждого из этих гепатопротекторов, нужно понять их состав, показания и противопоказания к применению, а также возможные побочные действия.

Свечи

Свечи "Анузол": отзывы (при геморрое)

При заболеваниях прямой кишки проктологи рекомендуют использовать ректальные свечи "Анузол". Отзывы об этом средстве говорят о том, что суппозитории хорошо снимают боль и воспаление, устраняют спазм и останавливают геморроидальные кровотечения. В состав препарата входит несколько компонентов, каждый из которых дополняет и усиливает действие другого.

Линзы с диоптриями: что такое и какие бывают?

Линзы с диоптриями: что такое и какие бывают?

Еще несколько десятилетий назад основными пациентами офтальмологов являлись пожилые мужчины и женщины. Сегодня нарушения работы глазного аппарата нередко встречаются у молодых людей, и даже у детей. Информационные технологии играют большую роль в жизни современного человека, однако снижают качество зрения. Для его коррекции используется множество методов: очки, операции, контактные линзы.

"Имудон" для детей: отзывы, показания, инструкция по применению

«Имудон» - современное и эффективное иммуностимулирующее лекарственное средство. К его помощи прибегают в тех случаях, когда собственные защитные силы организма не могут справиться с вирусными агентами. Подходит ли для детей «Имудон»? Отзывы и особенности применения медикамента для лечения малышей будут подробно рассмотрены в статье.

Глюкометр для дома - как выбрать и как пользоваться

Глюкометр для дома - как выбрать и как пользоваться

Избыточный вес, сахар в крови, а также другие проблемы эндокринной системы являются показаниями к применению глюкометра. Это устройство предназначается не только для людей, страдающих сахарным диабетом, но и здоровым людям. Хотя чаще всего измерять количество сахара в крови приходится именно диабетикам. Но если ранее человек никогда не пользовался подобной мини-лабораторией, то он просто не может знать, как выбрать глюкометр для дома, ведь есть много разных критериев, которые нужно учитывать.