Здоровье

Родителям на заметку: препарат

Родителям на заметку: препарат "Називин" для младенцев

Практически всегда простудное заболевание сопровождается насморком. Чтобы от него избавиться, для взрослых существует множество препаратов. Но что делать, если заболел ребенок? Какие лекарства следует использовать, чтобы помочь малышу? Ведь заложенный нос доставляет ему массу неудобств, он плохо спит и отказывается от еды. Довольно часто детские врачи советуют родителям использовать препарат «Називин» для младенцев. Он способствует сужению сосудов и облегчению дыхания.

Гарднерелла у женщин: все о гарднереллезе и его симптомах

Гарднерелла у женщин: все о гарднереллезе и его симптомах

Гарднерелла у женщин способна вызывать бактериальный вагиноз (гарднереллез), являющийся результатом нарушения нормальной микрофлоры. Когда бактерия вытесняет привычные вагинальные организмы (молочные бактерии), образующие кислотную среду, может понадобиться прием антибиотиков для уничтожения микробов и восстановления баланса.

Уретрит у женщин - симптомы, лечение, профилактика

Уретрит у женщин - симптомы, лечение, профилактика

Некоторые врачи шутят, что отношение природы к женскому организму видно по тому, как он устроен. Многие женщины постоянно страдают от гинекологических и урологических заболеваний, во многом обусловленных особенностями строения женского тела и, конечно, образом жизни

Параовариальная киста: симптомы, лечение, возможные осложнения

Параовариальная киста: симптомы, лечение, возможные осложнения

Что такое параовариальная киста. Каковы симптомы ее присутствия в организме. Как лечить недуг и какими могут быть последствия этого заболевания.

Как избавиться от пота под мышками? Дельные советы

Как избавиться от пота под мышками? Дельные советы

Гипергидроз - излишняя потливость у людей. Все бы ничего, да вот только скверный запах, характеризующий вспотевшие подмышечные впадины (а также ладони и стопы), делает невозможным нормальное пребывание человека в социуме.

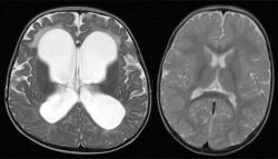
Наружно-заместительная гидроцефалия: причины, диагностика и лечение

Наружно-заместительная гидроцефалия: причины, диагностика и лечение

Различные неврологические патологии все чаще встречаются у современных людей. И виной тому, как правило, не только удручающее состояние экологии, но и головокружительный ритм нынешней жизни, частые стрессы и прочие разнообразнейшие и весьма опасные факторы, уже ставшие частью нашей повседневной жизни. Одним из наиболее серьезных и широко распространенных неврологических заболеваний является наружно-заместительная гидроцефалия, больше известная в народе под названием «водянка головного мозга».

Предвестниками каких заболеваний являются боли в грудине при вдохе?

Предвестниками каких заболеваний являются боли в грудине при вдохе?

Иногда мы можем ощущать боли в грудине при вдохе. Если это случай единичный, то, как правило, многие из нас не обращают на это внимания. Напрасно.

Кровотечение из носа: первая помощь

Кровотечение из носа: первая помощь

Многие мамы часто сталкивались с такой проблемой, как кровотечение из носа. Естественно, эта ситуация очень волнует и пугает всех женщин, а еще больше их детей. Но если знать причины такого неприятного явления и уметь быстро оказать первую помощь, то кровь из носа перестанет быть стихийным бедствием.

Препарат «Судокрем»: инструкция по применению

Препарат «Судокрем»: инструкция по применению

Препарат «Судокрем» инструкция по применению определяет как лекарственное средство, предназначенное для наружного использования и направленное на защиту и восстановление кожи при травмах и разного рода раздражениях. Благодаря фармакологическому действию всех перечисленных компонентов данный лекарственный крем оказывает выраженное антисептическое, адсорбирующее, противовоспалительное, вяжущее и подсушивающие действие.

Чем полезна спаржа? Калорийность спаржи

Чем полезна спаржа? Калорийность спаржи

Спаржа является поистине уникальным растением. Издавна известно, что она обладает рядом целебных свойств. В состав спаржи входят различные минералы (калий, медь, селен, марганец и др.) и витамины (С, А, Е, К и витамины группы В). А содержание в ней белков, углеводов и незначительного количества жиров делает этот продукт по-настоящему ценным. Ведь известно, что углеводы – это эффективный источник энергии, способный обеспечить нас зарядом бодрости и сил на весь день.