Здоровье

Детский массаж: виды, техника выполния, показания и противопоказания

Детский массаж: виды, техника выполния, показания и противопоказания

Некоторым деткам врачи назначают для оздоровления и профилактики различных заболеваний делать специальный детский массаж. И сейчас мы постараемся поподробней разобраться с его видами, показанием и техникой выполнения, чтобы каждый родитель смог лучше позаботиться о своем малыше.

Аналоги

Аналоги "Имодиума": список препаратов, состав, показания к применению

Понос относится к синдромам, при котором у человека происходит усиленная дефекация, стул становится жидким и учащенным. У здоровых людей частота стула составляет один-два раза в сутки либо один раз в два дня. "Имодиум" – симптоматический противодиарейный медикамент.

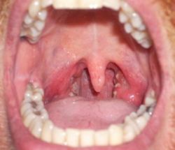
Болезни горла: виды, названия, симптомы, принципы лечения

Болезни горла: виды, названия, симптомы, принципы лечения

Болезни горла диагностируют довольно часто как у детей, так и у взрослых. Спектр этих заболеваний широк. Каждая болезнь имеет ряд характерных симптомов. Самостоятельно заниматься постановкой диагноза и лечением нельзя. Порой это может привести к серьезным осложнениям. Однако обзорно рассмотреть существующие болезни горла и гортани следует каждому. Это позволит определить наличие недуга на ранней стадии и принять соответствующие меры.

"Доксициклин": аналоги, инструкция по применению, отзывы

Препарат "Доксициклин" относится к антибактериальным средствам из группы тетрациклинов и рекомендуется к применению пациентам для терапии воспалительных и инфекционных процессов в организме различного происхождения.

Какой инкубационный период у гриппа? Первые симптомы у детей и взрослых

Какой инкубационный период у гриппа? Первые симптомы у детей и взрослых

Грипп – это довольно распространенное заболевание, которое в основном возникает в холодное время года. На сегодняшний день существует огромное количество разных штаммов, которые представляют серьезную угрозу для здоровья человека.

Clostridium botulinum - анаэробная грамположительная бактерия, возбудитель ботулизма. Какие меры предосторожности помогут избежать заболевания ботулизмом

Clostridium botulinum - анаэробная грамположительная бактерия, возбудитель ботулизма. Какие меры предосторожности помогут избежать заболевания ботулизмом

В окружающей среде от зрения человека скрыты тысячи микроорганизмов. Один из них – Clostridium botulinum. Так латиницей обозначается грамположительная бактерия, являющаяся возбудителем ботулизма. Заболевание крайне опасно. Оно поражает нервную систему, способно привести к летальному исходу.

Аналоги

Аналоги "Низорала": шампунь, крем, таблетки, отзывы

«Низорал» – это серия противогрибковых средств, которые назначают для лечения перхоти, себореи, микоза, дерматомикоза. Главное действующее вещество – кетоконазол. Эти средства с лечебным эффектом выпускаются в виде крема, шампуня, таблеток и свечей. Стоит серия довольно дорого, поэтому многие люди начинают искать дешевые аналоги «Низорала».

Зубной налет: виды, причины образования и способы удаления

Зубной налет: виды, причины образования и способы удаления

Зубной налет формируется по многим причинам. Удалить его легко как в домашних условиях, так и в специализированной клинике.

Дыхательная гимнастика по Бутейко: суть метода, упражнения при бронхиальной астме и аденоидах, отзывы

Дыхательная гимнастика по Бутейко: суть метода, упражнения при бронхиальной астме и аденоидах, отзывы

Дыхательная гимнастика Бутейко – это целый комплекс упражнений. Для их выполнения не требуется использовать специальную технику. Однако, есть у данных упражнений и свой минус: вряд ли у вас получится самостоятельно освоить весь курс. Выполнять все действия нужно только под наблюдением квалифицированного специалиста.

Спортивные витамины Animal Pak: отзывы покупателей и побочные действия

Спортивные витамины Animal Pak: отзывы покупателей и побочные действия

Постоянные занятия в тренажерном зале требуют затраты больших физических ресурсов. Работа с серьезными весами – это огромный стресс для организма, несмотря на кажущуюся внешнюю простоту. Любителям серьезных занятий спортом необходим качественный витаминно-минеральный комплекс, который покроет повышенную необходимость в микроэлементах. Спортивные витамины Animal Pak – идеальный вариант для тяжелоатлетов, легкоатлетов, пауэрлифтеров и гимнастов.