Здоровье

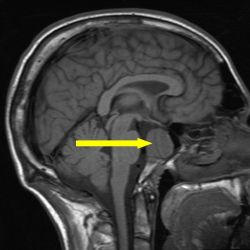
Микроаденома гипофиза: причины, симптомы, лечение

Микроаденома гипофиза: причины, симптомы, лечение

Микроаденома гипофиза - это доброкачественная опухоль в небольшой железе у основания головного мозга. Заболевание может появиться в любом возрасте, но чаще встречается у пожилых людей. Поскольку опухоль может провоцировать серьезные проблемы со здоровьем, ее следует лечить.

Диета при заболевании печени: что можно, а чего нельзя?

Диета при заболевании печени: что можно, а чего нельзя?

Диета при заболевании печени необходима в обязательном порядке! Ведь уже только от нее зависит ваше самочувствие в будущем. Итак, диета при заболеваниях печени: что можно, а чего нельзя?

Заражение крови: причины, симптомы, лечение

Заражение крови: причины, симптомы, лечение

Заражение крови происходит, когда в кровь попадают химические вещества. Вероятнее всего, это возникает при почечной и брюшной инфекции, пневмонии и бактериемии. При легком сепсисе большинство людей выздоравливают. Тяжелая стадия заболевания может увеличить риск появления инфекций в будущем. Почти 50% людей с септическим шоком умирают.

Есть ли эстрогены в продуктах?

Есть ли эстрогены в продуктах?

Не все женщины осознают важность того влияния, которое оказывают эстрогены на состояние их здоровья. Многие понимают это лишь тогда, когда начинают испытывать недостаток в этих половых гормонах. И обращаются к приему соответствующих препаратов. Однако медикаментозное лечение не всегда оправдано, так как может нанести вред здоровью вследствие наличия различных побочных эффектов. Лучшим решением будет корректировка питания.

Половой герпес и его признаки

Половой герпес и его признаки

Половой герпес относится к числу распространенных инфекций, которые передаются половым путем (ИППП). Возбудителем заболевания является вирус простого герпеса I и II типа. Проявляется характерными высыпаниями, которые локализуются на половых органах мужчин и женщин.

Калорийность финики имеют большую

Калорийность финики имеют большую

Финики – вкусные и полезные плоды финиковой пальмы. В продажу этот очень распространённый продукт поступает в виде сухофруктов. По заявлениям специалистов, финики - почти образцовая пища для организма человека. Калорийность финики имеют довольно высокую, в их составе находятся все необходимые питательные элементы и витамины.

Диеты для мужчин - это миф или реальность?

Диеты для мужчин - это миф или реальность?

Диеты для мужчин - это не миф! Однако в них все же есть отличия от женских. Рацион питания мужчины обязательно должен быть сытным. Питание нужно сбалансировать, ведь физическая активность мужского организма заметно выше, чем женского. Подробности читайте в статье.

Белки в продуктах питания и их предназначение

Белки в продуктах питания и их предназначение

Хорошее сбалансированное питание – залог отменного здоровья и самочувствия. Белки в продуктах питания очень важны. Главное, уметь их правильно употреблять.

Натуральный соевый соус: польза и вред

Натуральный соевый соус: польза и вред

Польза и вред этого продукта интересует многих любителей японских, корейских и китайских блюд. Все мы слышали о пресловутом восточном долголетии. Оказывается, что один из секретов стройности и здоровья азиатов заключается в регулярном употреблении соевого соуса.

Гомеопатический препарат

Гомеопатический препарат "Коризалия": инструкция по применению

Препарат "Коризалия" инструкция определяет как гомеопатическое лекарственное средство, предназначенное для лечения различных заболеваний носоглотки.