
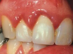
Красный плоский лишай: причины, симптомы, лечение
Многие считают, что красный плоский лишай заразен. На самом деле его нельзя передать кому-то и получить от кого-то. Заболевание возникает, когда иммунная система ошибочно атакует клетки слизистых оболочек или кожи. Причина такой ненормальной иммунной реакции неизвестна.
Татьяна Рудакова