Здоровье

Корень подсолнуха: лечебные свойства, отзывы, противопоказания, рецепты

Корень подсолнуха: лечебные свойства, отзывы, противопоказания, рецепты

Сложно найти человека, который не слышал о полезных свойствах подсолнуха. Из него производится качественное и ароматное растительное масло, на дачных и садовых участках это растение нередко используется в качестве декоративного, из лепестков готовят лекарственные средства, на топливо идут его стебли. Но мало кто знает, что лечебными свойствами обладает корень подсолнуха: отзывы пациентов подтверждают его целебную силу.

Что такое нейросифилис? Симптомы, лечение, последствия

Что такое нейросифилис? Симптомы, лечение, последствия

Под сифилисом понимают заболевание, которое обладает венерической природой. Эта болезнь нарушает функционирование систем органов. При отсутствии необходимого лечения, спустя некоторое время, может развиться нейросифилис. Это крайне опасная патология для здоровья человека. Такой недуг угрожает инвалидностью либо смертельным исходом.

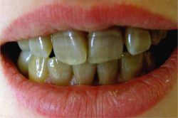
Почернели зубы: причины, что делать

Почернели зубы: причины, что делать

Зачастую приходится встречаться с таким явлением, как почернение или потемнение зубов, и не только в детском возрасте, но и в зрелом. Появление на зубах черного налета свидетельствует об определенных проблемах со здоровьем, и их нужно выявлять, чтобы подобрать грамотное лечение.

Симптомы и лечение латерального эпикондилита локтевого сустава

Симптомы и лечение латерального эпикондилита локтевого сустава

Что такое латеральный эпикондилит, его основные симптомы и диагностика. Медикаментозные и народные средства лечения заболевания.

Фурацилин-адреналиновые капли: инструкция и отзывы

Фурацилин-адреналиновые капли: инструкция и отзывы

Для чего предназначены фурацилин-адреналиновые капли, как правильно принимать, противопоказания. Состав сложных капель, отзывы.

Профилактика сифилиса: симптомы и лечение

Профилактика сифилиса: симптомы и лечение

Профилактика сифилиса – это комплекс достаточно простых мер, соблюдение которых поможет защититься от опасного для жизни заболевания. Неудивительно, что недуг относят к группе социально значимых проблем: он легко передается, а вот избавиться от болезни даже в наши дни очень сложно. Именно поэтому к вопросам общей и индивидуальной профилактики сифилиса необходимо подходить со всей серьезностью.

Какой врач лечит артриты и артрозы - особенности и услуги

Какой врач лечит артриты и артрозы - особенности и услуги

Артролог - узкий специалист, который занимается заболеваниями суставов. За помощью также можно обратиться к ортопеду или ревматологу.

Полезные свойства свеклы и противопоказания

Полезные свойства свеклы и противопоказания

Полезные свойства красной свеклы стоит знать всем, ведь продукт простой и привычный, у многих растет на собственном огороде. Впрочем, даже если своей грядки со свеклой нет, купить в магазине ее несложно, а цена на овощ более чем доступная.

В чем содержатся глютены: список продуктов

В чем содержатся глютены: список продуктов

Не так давно было выявлено, что глютен, который присутствует в огромном количестве продуктов питания, для некоторых людей является опасным. У пациентов с повышенной чувствительностью употребление данного вещества сопряжено с развитием различных осложнений. Именно поэтому многие читатели интересуются, в чем содержатся глютены.

Крестцовое сплетение: анатомия, строение и функции

Крестцовое сплетение: анатомия, строение и функции

Крестцовое сплетение формируется четвертой и пятой брюшными ветвями спинномозговых и поясничных нервов. Эта форма имеет латинское название plexus sacralis. Сходятся ветки в пучок, который называют поясничным стволом. В это сплетение также включены волокна от узлов поясничного симпатического ствола. Ответвления расположены на грушевидной мышце в районе малого таза. Они сходятся к отверстиям, которые расположены не только над грушевидной мышцей, но и под ней.