Здоровье

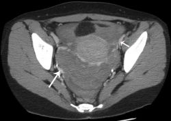
Свободная жидкость в малом тазу у женщин — это опасно?

Свободная жидкость в малом тазу у женщин — это опасно?

Довольно часто при ультразвуковом исследовании обнаруживается свободная жидкость в малом тазу. Подобное явление может быть результатом воздействия разных факторов. Однако следует сразу же отметить, что наличие жидкости само по себе не является болезнью — в некоторых случаях это лишь симптом.

Отрыжка после еды: причины неприятного явления

Отрыжка после еды: причины неприятного явления

Отрыжка после еды, причины которой рассмотрим чуть ниже, представляет собой неконтролируемое и внезапное выделение газов из пищевода или желудка через рот. Такое явление может сопровождаться выбросом воздуха или примесью содержимого из пищеварительных органов.

Глицин: противопоказания и полезные свойства

Глицин: противопоказания и полезные свойства

Многообразие лекарственных препаратов, представленное на полках аптек, заставляет задумываться о том, что именно выбрать для эффективного устранения симптомов или избавления от болезней. В данной статье мы расскажем о препарате глицин.

Аденомиоз матки 1 степени: причины, симптомы и диагностика

Аденомиоз матки 1 степени: причины, симптомы и диагностика

Аденомиоз — довольно распространенная болезнь, которой наиболее подвержены женщины старше сорока лет. Стоит отметить, что нередко заболевание диагностируется уже на поздних стадиях, что делает лечение более трудным. В то же время аденомиоз матки 1 степени довольно легко поддается консервативной терапии.

РФМК повышен при беременности, что это означает?

РФМК повышен при беременности, что это означает?

В организме женщины в период беременности протекают сложные процессы, направленные на сохранение здоровья будущего ребенка. Происходящие изменения затрагивают практически все системы и органы матери, в том числе и гемостаз. Чтобы контролировать их состояние, необходимо в течение всего срока вынашивания ребенка сдавать анализы, в частности проверять уровень растворимого фибрина мономерного комплекса (РФМК).

Препарат

Препарат "Аципол". Инструкция по применению

Препарат "Аципол" используется в качестве профилактического, лечебного средства при желудочно-кишечных патологиях (острых, хронических), имеющих разную этиологию дисбактериозах, пищевых аллергиях. Лекарство стимулирует иммунитет у людей, ослабленных вследствие различных перенесенных болезней.

Средство «Пустырник форте». Инструкция по применению

Средство «Пустырник форте». Инструкция по применению

Лекарство рекомендовано при патологиях ЦНС, сопровождающихся возбуждением и повышением давления. К показаниям относят стрессы, вегетососудистую дистонию, неврозы, бессонницу, центральный тремор, истерию, головные боли.

Лекарственное средство «Тербинафин» (мазь). Инструкция

Лекарственное средство «Тербинафин» (мазь). Инструкция

Лекарство «Тербинафин-Тева» относится к фармгруппе противогрибковых средств. Медикамент предназначается для местного или перорального применения. Наружно используется средство «Тербинафин» (мазь).

Моноциты в крови повышены: основные причины

Моноциты в крови повышены: основные причины

Моноциты являются одной из разновидностей белых кровяных клеток крови. И несмотря на то что на их долю приходится всего 1–8% от всех лейкоцитов, переоценить их значение для организма невозможно. Ведь эти структуры принимают участие в нейтрализации бактериальной инфекции и удалении инородных тел из организма.

Масло вазелиновое. Применение и состав

Масло вазелиновое. Применение и состав

В настоящее время косметология и фармакология широко используют различные химические продукты. Потребителям стоит знать, что многие из них не представляют опасности для здоровья, так как состоят из натуральных веществ. К таким продуктам можно отнести и вазелиновое масло.