
Киста шишковидной железы головного мозга. Описание
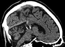
Киста шишковидной железы головного мозга считается явлением достаточно редким. Согласно статистике, данное нарушение отмечается в полутора процентах всех случаев патологии органа.
Татьяна РудаковаКиста шишковидной железы головного мозга считается явлением достаточно редким. Согласно статистике, данное нарушение отмечается в полутора процентах всех случаев патологии органа.
Татьяна РудаковаВагинальные таблетки «Тержинан» входят в категорию комбинированных средств для местного применения при гинекологических патологиях.
Татьяна РудаковаЛечение язвы двенадцатиперстной кишки - процесс достаточно сложный и очень ответственный. Это тяжелое заболевание и нельзя его забрасывать, иначе последствия будут плачевными. Стоит рассмотреть народные рецепты, помогающие справиться с этой проблемой.
Татьяна РудаковаЧто такое тремор, каковы его причины? Трясется подбородок у новорожденного - причина или следствие? Ответы найдете в нашей статье.
Татьяна РудаковаЛечение молочницы народными средствами является не менее эффективным, чем при помощи аптечных медикаментов. Огромный выбор способов лечения позволит действительно избавиться от проявлений кандидоза.
Татьяна РудаковаДиффузные изменения паренхимы щитовидной железы – это понятие ультразвуковой диагностики. Обозначает этот термин изменение способности к звуковому отражению.
Татьяна РудаковаЧаще всего молодые мамочки обращаются к педиатру с единственной проблемой: высокая температура у детей. Происходит это, если верить специалистам, довольно часто. Но что делать, если с проблемой сталкиваются впервые? Как вести себя в такой ситуации?
Татьяна РудаковаВопрос о том, как правильно вводить тампон, интересует девушек все больше и больше. Ведь технология достаточно удобная, а самое главное - с тампоном можно совершенно спокойно надевать мини-юбки и даже купаться, ведь он не виден так, как обычная прокладка.
Татьяна РудаковаИнфаркт миокарда, причины которого уже известны, до сих пор входит в пятерку смертельных заболеваний. О его признаках и причинах рассказывается в статье.
Татьяна РудаковаЛекарство «Креон» инструкция по применению относит к категории ферментных препаратов, фармакологическое действие которых направлено на улучшение процессов пищеварения. Специальные панкреатические ферменты, содержащиеся в данных таблетках, значительно облегчают переваривание углеводов, белков и жиров, что обеспечивает их полную абсорбцию в тонкой кишке.
Татьяна Рудакова